México, (Notimex).- La artropatía de Charcot es la destrucción progresiva de una articulación, con frecuencia muy rápida, que se desarrolla porque la persona no es capaz de sentir dolor y por lo tanto, no es consciente de los signos iniciales de daño articular.
Se puede presentar inflamación, luxación articular y destrucción ósea, que conlleva a la deformación del pie, la causa principal es la diabetes, seguido de trastornos de la médula espinal y sífilis, pues estas enfermedades dañan ciertos nervios, por eso las personas no sienten dolor, de acuerdo con investigadores del Hospital Universitario Mútua Terrassa, en Barcelona.
Por lo anterior, las personas afectadas pueden lesionarse una articulación en varias ocasiones o incluso fracturársela sin darse cuenta, además en sus etapas iniciales, la artropatía de Charcot es similar a la artrosis, porque la articulación está rígida y se acumula líquido en ésta.
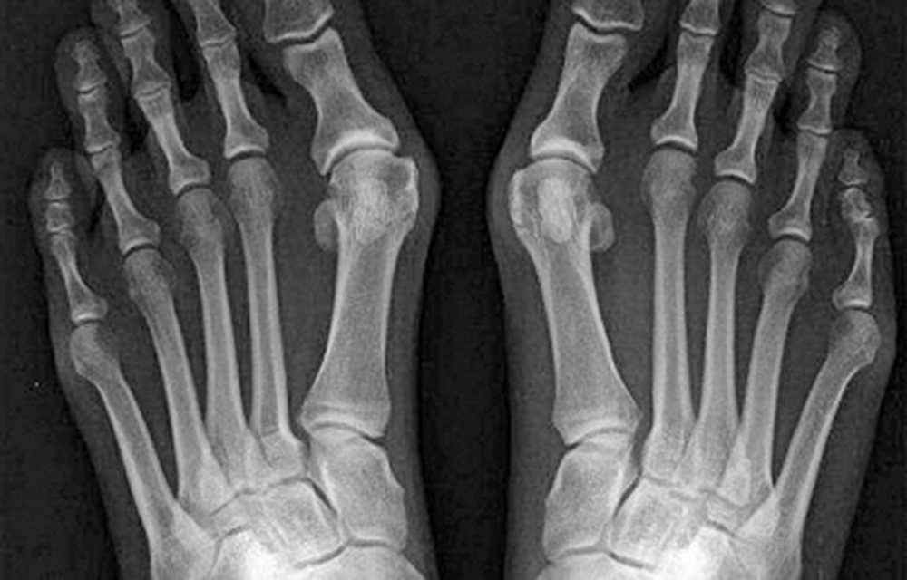
La articulación que se afecta con mayor frecuencia es la tarsometatarsiana, siendo bilateral en un 20 por ciento de los casos, además si el trastorno progresa con rapidez, la articulación se vuelve extremadamente dolorosa.
Por lo anterior, es fundamental establecer un diagnóstico oportuno, siendo un paciente diabético mal controlado que presenta signos inflamatorios y edema unilateral del pie, de inicio insidioso, con leve dolor e incluso ausencia del mismo, el principal factor de riesgo.
Para confirmar el padecimiento los médicos pueden utilizar una radiografía para detectar la presencia de una posible lesión articular, también pueden ayudarse de la ecografía y la gammagrafía. Además entre más pronto se detecte la enfermedad, los médicos podrán cambiar el curso de la enfermedad.
El tratamiento más adecuado es la inmovilización, por lo que las férulas o las botas especiales ayudan a proteger las articulaciones vulnerables, y se estima que alrededor del 25 por ciento de los casos tratados en fases tempranas no llegan a desarrollar deformidad.

